Gudang Informasi

How Does Breast Cancer Look Like On A Mammogram - What Mammogram Images Tell Us About Breast Cancer Risk : When a cancer grows within the breast, it distorts the normal architecture of the breast tissue, which can then distort the look of the overlying breast skin.

How Does Breast Cancer Look Like On A Mammogram - What Mammogram Images Tell Us About Breast Cancer Risk : When a cancer grows within the breast, it distorts the normal architecture of the breast tissue, which can then distort the look of the overlying breast skin.
How Does Breast Cancer Look Like On A Mammogram - What Mammogram Images Tell Us About Breast Cancer Risk : When a cancer grows within the breast, it distorts the normal architecture of the breast tissue, which can then distort the look of the overlying breast skin.

How Does Breast Cancer Look Like On A Mammogram - What Mammogram Images Tell Us About Breast Cancer Risk : When a cancer grows within the breast, it distorts the normal architecture of the breast tissue, which can then distort the look of the overlying breast skin.. A breast cancer tumor on a mammogram is often irregular with edges that don't look smooth. Dense breast tissue appears solid. The doctor reading your mammogram will be looking for different types of breast changes, such as small white spots called calcifications, larger abnormal areas called masses, and other suspicious areas that could be signs of cancer. The look of breast cancer on a mammogram a tumor or lump will appear as a focused white area on the mammogram. A breast mri captures multiple images of your breast.

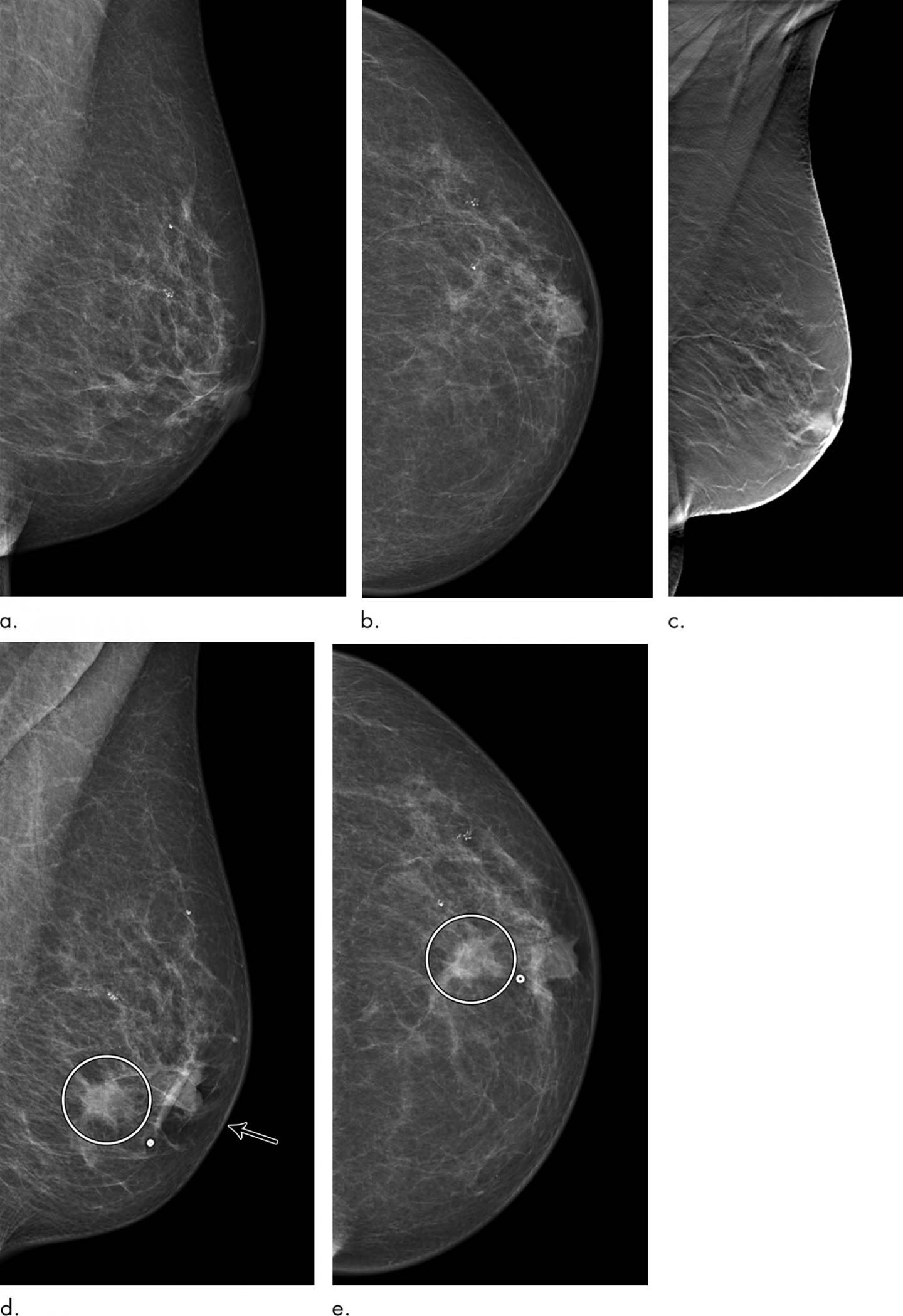
Cancers may be seen as masses (like a ball, but usually with an irregular shape), areas of asymmetry that can resemble normal tissue, calcifications (white specks), and/or areas of architectural distortion (imagine the puckering caused by pulling a thread in a piece of fabric). A tumor that is benign, it is not a health problem and it may not grow or change shape. Dr sarah jarvis mbeif a mammogram is abnormal, further tests will be needed. But radiologists can still see signs of cancer. A lump or tumor will show up as a focused white area on a mammogram.

3 D Mammograms And Molecular Breast Imaging Personalized Approaches To Breast Cancer Screening Huffpost Life
3 D Mammograms And Molecular Breast Imaging Personalized Approaches To Breast Cancer Screening Huffpost Life from img.huffingtonpost.com
Mammograms may show suspicious areas of the breast, white spots, and microcalcifications. A breast cancer tumor on a mammogram is often irregular with edges that don't look smooth. They are often caused by aging, an old injury, or inflammation and are usually benign. The doctor reading your mammogram will be looking for different types of breast changes, such as small white spots called calcifications, larger abnormal areas called masses, and other suspicious areas that could be signs of cancer. Any area that does not look like normal tissue is a possible cause for concern. A lump or tumor will show up as a focused white area on a mammogram. That makes it easy to detect abnormalities, which generally show up as white. Calcifications are tiny flecks of calcium — like grains of salt — in the soft tissue of the breast that can sometimes indicate the presence of an early breast cancer.

Cancers may be seen as masses (like a ball, but usually with an irregular shape), areas of asymmetry that can resemble normal tissue, calcifications (white specks), and/or areas of architectural distortion (imagine the puckering caused by pulling a thread in a piece of fabric).

Calcifications are tiny flecks of calcium — like grains of salt — in the soft tissue of the breast that can sometimes indicate the presence of an early breast cancer. Invasive breast cancer can appear as a white patch or mass on a mammogram. What does breast cancer look like on a mammogram? When a cancer grows within the breast, it distorts the normal architecture of the breast tissue, which can then distort the look of the overlying breast skin. Finding breast lumps and seeing change in the size and shape. What does breast cancer look like? This can make it harder for your radiologist to spot signs of breast cancer, since dense tissue and tumors both look white in mammogram images. It's so important to listen to the messages our bodies are telling. Any area that does not look like normal tissue is a possible cause for concern. Calcifications usually can't be felt, but they appear on a mammogram. But radiologists can still see signs of cancer. A breast cancer tumor on a mammogram is often irregular with edges that don't look smooth. Breast cancer and some noncancerous (benign) breast conditions can appear white on a mammogram.

They will look carefully at the mammogram to interpret the results. How can mammograms be used? Finding breast lumps and seeing change in the size and shape. A tumor that is benign, it is not a health problem and it may not grow or change shape. A spiculated breast mass, which has spikes extending out from the main mass, is often highly suggestive of cancer.

Why Your Breast Density Matters Cancerconnect
Why Your Breast Density Matters Cancerconnect from news.cancerconnect.com
Dr sarah jarvis mbeif a mammogram is abnormal, further tests will be needed. But radiologists can still see signs of cancer. Cancers may be seen as masses (like a ball, but usually with an irregular shape), areas of asymmetry that can resemble normal tissue, calcifications (white specks), and/or areas of architectural distortion (imagine the puckering caused by pulling a thread in a piece of fabric). Magnetic resonance imaging (mri) of the breast — or breast mri — is a test used to detect breast cancer and other abnormalities in the breast. Any area that does not look like normal tissue is a possible cause for concern. Invasive breast cancer can appear as a white patch or mass on a mammogram. It is important to bear in mind that most women who are asked to come back after. A breast cancer tumor on a mammogram is often irregular with edges that don't look smooth.

Abnormalities such as cancerous tumors usually appear brighter because they are denser.

Calcifications are calcium deposits within the breast tissue and they look like small white spots. Invasive breast cancer can appear as a white patch or mass on a mammogram. That makes it easy to detect abnormalities, which generally show up as white. After a mammogram that didn't show anything, and a sonogram that found the lump, i was diagnosed with stage 2 breast cancer. Early signs a new mass or lump in breast tissue is the most common sign of breast cancer. A woman's breast tissue also changes over time, and it is not uncommon for benign lumps, cysts or calcifications to form with age. A lump or tumor will show up as a focused white area on a mammogram. What does breast cancer look like? The appearance of normal breast tissue on a mammogram varies from person to person, and no two mammograms look the same. Microcalcifications, which look like white specks on a mammogram. The most common sign of breast cancer is a lump, deep in the breast. The doctor reading your mammogram will be looking for different types of breast changes, such as small white spots called calcifications, larger abnormal areas called masses, and other suspicious areas that could be signs of cancer. If you have access to breast cancer screening, use it—a mammogram can detect a lump long before it can be felt.

Magnetic resonance imaging (mri) of the breast — or breast mri — is a test used to detect breast cancer and other abnormalities in the breast. Calcifications usually can't be felt, but they appear on a mammogram. What does breast cancer look like? It is important to bear in mind that most women who are asked to come back after. This can make it harder for your radiologist to spot signs of breast cancer, since dense tissue and tumors both look white in mammogram images.

3d Mammography Detected 34 More Breast Cancers In Screening Healthcare In Europe Com
3d Mammography Detected 34 More Breast Cancers In Screening Healthcare In Europe Com from healthcare-in-europe.com
There are few risks associated with mammography. Early signs a new mass or lump in breast tissue is the most common sign of breast cancer. Calcifications usually can't be felt, but they appear on a mammogram. Tumors may be benign or cancerous. But radiologists can still see signs of cancer. They will look carefully at the mammogram to interpret the results. A 3d mammogram is used to look for breast cancer in people who have no signs or symptoms. What does breast cancer look like?

It is important to bear in mind that most women who are asked to come back after.

Any area that does not look like normal tissue is a possible cause for concern. If you have access to breast cancer screening, use it—a mammogram can detect a lump long before it can be felt. If found in an area of rapidly dividing cells or grouped together in a certain way, they may be a sign of dcis or breast. What does breast cancer look like on a mammogram? They will look carefully at the mammogram to interpret the results. A lump or tumor will show up as a focused white area on a mammogram. 1  the gray areas correspond to normal fatty tissue, while the white areas are normal breast tissue with ducts and lobes. Cancers may be seen as masses (like a ball, but usually with an irregular shape), areas of asymmetry that can resemble normal tissue, calcifications (white specks), and/or areas of architectural distortion (imagine the puckering caused by pulling a thread in a piece of fabric). Breast cancer and some noncancerous (benign) breast conditions can appear white on a mammogram. A woman's breast tissue also changes over time, and it is not uncommon for benign lumps, cysts or calcifications to form with age. A breast mri captures multiple images of your breast. A mammogram can show breast changes such as calcifications, masses, or other symptoms that might be cancer. Calcifications are tiny flecks of calcium — like grains of salt — in the soft tissue of the breast that can sometimes indicate the presence of an early breast cancer.

Advertisement